がん・腫瘍科Oncology Oncology department
当院では様々ながんに対する、内科治療、抗がん剤治療、レーザー治療、外科治療、対症療法を行っております。近年では医療も進み、完治するがんの種類もあります。
血液検査やレントゲン検査、超音波検査、内視鏡検査、細胞診検査、病理組織検査、場合によってはCTやMRIを撮影し診断します。
診断がついた腫瘍に対しての治療方法を、その動物にとって一番いい治療方法を飼い主様と一緒に考え選び、治療にあたっております。
細胞診検査について
通常体表にある腫瘍で、一番始めに気づくのはしこりです。
腫瘍科診療の進め方は、まずこのしこりに対しての検査として細胞診を行います。
細胞診とは、細い針を用いて、しこりの一部の細胞を採取します。
その細胞を顕微鏡で見て、腫瘍なのか、腫瘍ではないのか、腫瘍であった場合、何の種類の腫瘍なのかを予測します。
予測をたて、飼い主様と相談しながら、その後の治療を考えていきます。
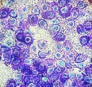
細胞診の例
![]() リンパ腫 |
![]() 肥満細胞腫 |
外科手術症例
- 気管内に発生した腫瘍により呼吸困難を呈し、開胸減容積手術により呼吸改善がみられた一例
- 右下顎骨に扁平上皮癌が発生し片側下顎骨全摘出術を行った一例
- 胃がん
- 小腸に発生したリンパ腫
- 大腸がん
- 浸潤性脂肪種
- 精巣腫瘍(1,2)
- 線維肉腫
- 乳腺癌(1,2)
- 腎臓に発生した腫瘍(1,2)
- 肝臓がん
- 脾臓に発生した腫瘍
- 口腔内腫瘍
- 肛門周囲の腫瘍
- 頚部に発生した腫瘍
気管内に発生した腫瘍により呼吸困難を呈し、開胸減容積手術により呼吸改善がみられた一例
来院時のレントゲン胸部レントゲン写真です。 |
|
呼吸困難にて窒息寸前でしたので、まずは緊急処置として、 |
|
![]() |
![]() |
手術写真です。第3~第4肋間開胸アプローチにて、気管腫瘍(黄色矢印)を露出します。 |
|
![]() |
![]() |
迷走神経、前大静脈、奇静脈を傷つけないように、気管のみを癒着から剥離していき、気管を遊離させます。 |
|
![]() |
![]() |
この部分の気管腫瘍の全摘出は不可能なため、気管内の腫瘍の減容積手術を行います。 |
|
閉胸を行い、最後に胸腔チューブを設置し、手術後は定期的な抜気管理となります。 |
|
手術後のレントゲン写真です。 |
|
右下顎骨に扁平上皮癌が発生し片側下顎骨全摘出術を行った一例
![]() 右下顎骨に腫瘍が発生し口が閉じることができず、 |
![]() 腫瘍の細胞診写真 |
![]() |
![]() |
下顎骨部分のレントゲン写真です。右の下顎骨が腫瘍に破壊され、なくなっています。 |
|
![]() 手術中写真① |
![]() 手術中写真② |
![]() 手術中写真③ |
![]() 手術中写真④ |
手術中写真⑤ |
|
![]() 摘出された右下顎骨です。かなり広範囲に腫瘍に侵されています。 |
|
胃がん: 胃がんにより毎日頻回の嘔吐を繰り返していた症例
![]() |
![]() |
胃にできた癌。丸く赤く変色している場所(黄色の丸)が癌の場所。 |
|
![]() 胃がんを摘出し、縫合 |
|
![]() |
![]() |
摘出した胃がん |
|
小腸に発生したリンパ腫:リンパ腫により腸閉塞を起こした症例
![]() 大きく腫れたリンパ腫(黄色丸)により腸閉塞を起こし、 |
![]() できる限りリンパ腫の浸潤している小腸を切除し、 |
![]() 切除された、小腸のリンパ腫 |
|
大腸がん:大腸がんが破裂して腹膜炎を起こしていた症例
![]() 右の黒く変色している場所が大腸がんの破裂している場所。 |
![]() 癌の部分を切除し、正常な大腸と大腸を吻合 |
![]() 切除された大腸がん |
|
浸潤性脂肪腫: 腹腔内に発生した脂肪腫が腹部臓器を圧迫し、重症となった症例
![]() 手術前(腹部が大きく膨らんでいます) |
![]() 腹腔内を占拠している脂肪腫 |
![]() 腹腔内脂肪腫の摘出 |
|
![]() 摘出された脂肪腫 |
|
精巣腫瘍: 潜在精巣であった腹腔内の精巣が腫瘍化し、頻回嘔吐を繰り返していた症例
![]() |
![]() |
![]() |
左の精巣が腹腔内の精巣腫瘍。右の精巣が本来の位置に残されていた精巣 |
精巣腫瘍: 皮下にあった潜在精巣が腫瘍化した症例
![]() |
![]() |
![]() |
線維肉腫: 乳腺部に発生した線維肉腫が破裂し、痛みを伴っていた症例
![]() 手術前の写真 |
![]() 手術写真① |
![]() 手術写真② |
![]() 線維肉腫を摘出し縫合 |
![]() 摘出された線維肉腫 |
|
乳腺癌: 乳腺癌を摘出した犬の症例
乳腺癌 ( 症例-1 )
![]() 左の最後乳腺に発生した乳腺癌 |
![]() 手術写真① |
![]() 手術写真② |
![]() 手術写真③ |
![]() 手術写真④ |
![]() 摘出された乳腺癌 |
乳腺癌: 乳腺癌を摘出した猫の症例
乳腺癌 ( 症例-2 )
![]() 最後乳腺部から広範囲に発生した乳腺癌 |
![]() 手術写真① |
![]() 手術写真② |
![]() 手術写真③ |
![]() 摘出された乳腺癌 |
|
腎臓に発生した腫瘍
腎臓に発生した腫瘍 ( 症例-1 )
![]() 指で掴んでいるのが腫瘍化した腎臓 |
|
![]() 正常側の腎臓 |
![]() 腫瘍化した腎臓 |
腎臓に発生した腫瘍 ( 症例-2 )
![]() 手術中の腫瘍化した腎臓の写真 |
|
![]() 摘出した腎臓の写真① |
![]() 摘出した腎臓の写真② |
![]() 摘出した腎臓の写真③ |
![]() 摘出した腎臓の割面写真 |
肝臓がん
肝臓がんにより食欲不振、嘔吐を繰り返していたため、摘出手術を行った症例
![]() がんに侵された肝臓 |
![]() 摘出された肝臓 |
脾臓に発生した腫瘍
脾臓にできた血管肉腫が腹腔内で破裂を起こし、摘出を行った症例
![]() 腫瘍に侵された脾臓 |
![]() 血管肉腫が破裂していた部分 |
![]() 摘出された脾臓の血管肉腫 |
|
口腔内腫瘍
口腔内に悪性黒色腫が発生し、摘出を行った症例
![]() 口腔内は発生した悪性黒色腫の写真① |
![]() 口腔内は発生した悪性黒色腫の写真② |
![]() 口腔内腫瘍摘出後の写真① |
![]() 口腔内腫瘍摘出後の写真② |
肛門周囲の腫瘍
肛門付近に肛門周囲腺癌が発生し摘出を行った症例
![]() 肛門部に発生したがん |
![]() 腫瘍を摘出した時の手術中写真 |
![]() 新たに肛門を再建している手術中写真 |
![]() 手術終了時の写真 |
頚部に発生した腫瘍
顔面部付近の頚部に発生した線維肉腫の摘出を行った症例
![]() 頚部に発生した線維肉腫 |
![]() 手術中の写真① |
![]() 摘出し、縫合終了時の手術中写真 |
![]() 摘出された腫瘍 |















































































